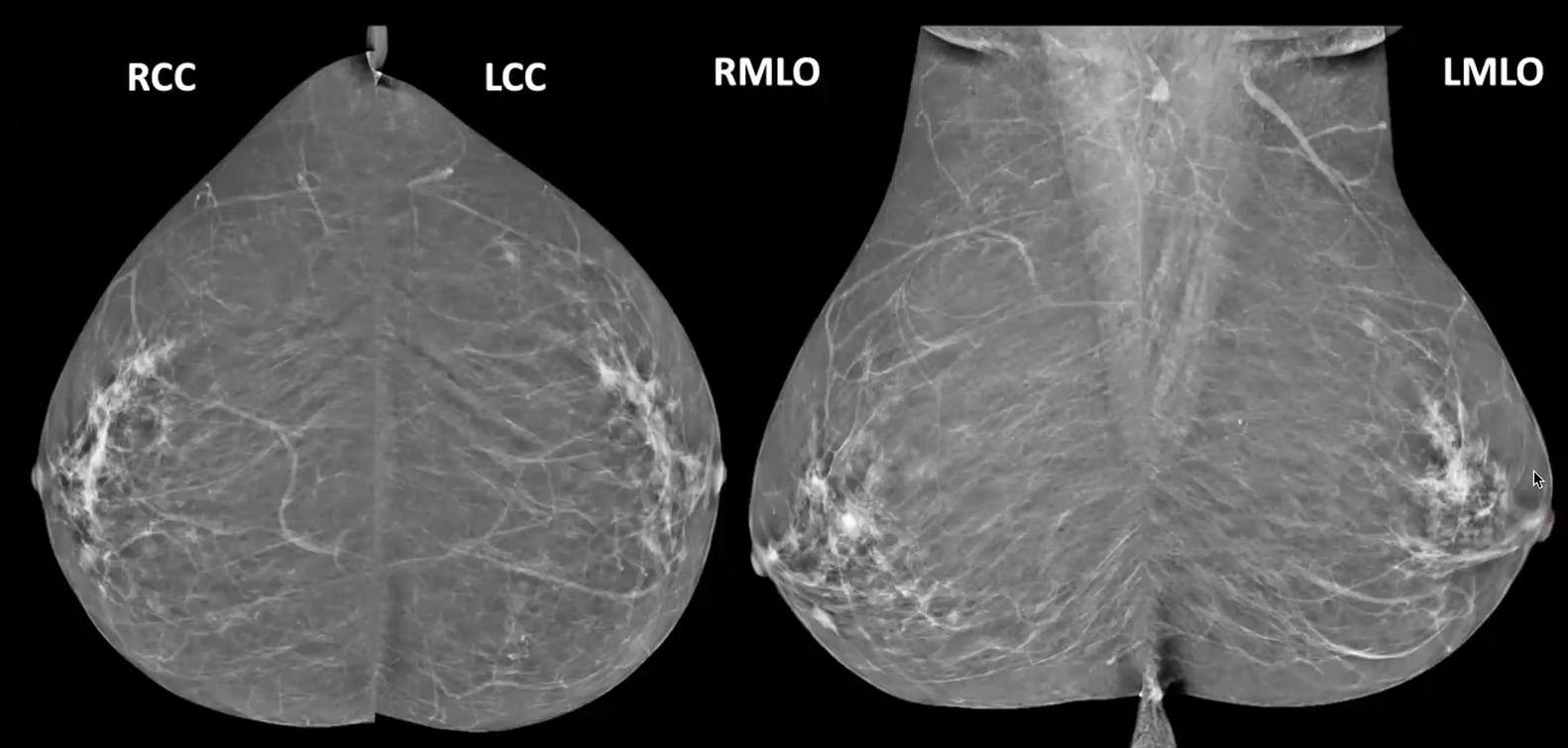
Mammogram views and Ultrasound scanning planes (Swipe left or right) Mammogram Views Learn Mammogram Markers Learn Ultrasound Scan planes Learn How to scan and survey the breast Learn